20 Little Ryrie Street Geelong, Victoria 3220
(03) 5223 1555
Book appointment

Before and After Gallery

Invisalign

Invisalign Teen

Braces

Crowns, Bridges and Veneers

Bonded Veneers
Porcelain Veneers
Porcelain Veneers
Porcelain crowns
Veneers
Bonded Veneers
Bonded Veneers
Porcelain veneers
Porcelain veneers
A combination of Crowns, Veneers and Bridges

Smile Makeover

A combination of Invisalign and composite veneers
A combination of Invisalign and porcelain crowns
A combination of Invisalign and porcelain veneers
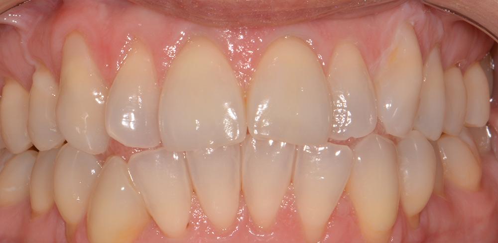
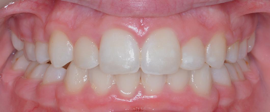
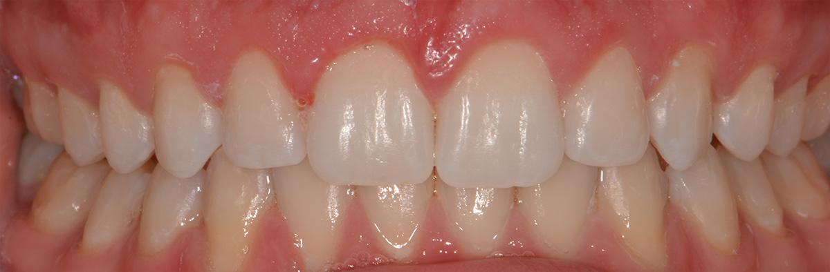
A combination of Implants , Crowns and a bridge
Smile makeover
A combination of Invisalign, Whitening and Composite build-ups
A combination of Invisalign, Whitening and Composite build-ups
A combination of Invisalign and porcelain crowns
A combination of Invisalign and porcelain crowns
A combination of Invisalign and Porcelain veneers